Distocia em coelha (Oryctolagus cuniculus) infanta da raça anão-holandês – relato de caso
Distocia en una coneja europea enana (Oryctolagus cuniculus) – relato de caso
Dystocia in young dutch dwarf rabbit (Oryctolagus cuniculus) – case report
Clínica Veterinária, Ano XXV, n. 149, p.48-54, 2020
DOI: 10.46958/rcv.2020.XXV.n.149.p.48-54
Resumo: A aquisição de coelhos como animais de estimação ganhou destaque nos últimos anos no Brasil, e houve também aumento da casuística de atendimentos em clínicas veterinárias para essa espécie animal. As enfermidades reprodutivas são de baixa ocorrência em publicações científicas, sendo raros os casos descritos de distocia e morte fetal. O presente trabalho tem por objetivo descrever um caso de distocia em uma coelha de 75 dias de idade, que foi atendida com a queixa de secreção vaginal purulenta e inapetência. Após o exame físico e a realização de exame radiográfico, o animal foi diagnosticado com distocia e encaminhado para a realização de ovariossalpingo-histerectomia (OSH). O diagnóstico preciso, a intervenção imediata e o tratamento adequado foram imprescindíveis para a rápida melhora clínica do animal durante o pós-operatório.
Unitermos: leporino, parto, ovariossalpingo-histerectomia
Abstract: Rabbits are becoming common as pets in Brazil, and veterinarians are seeing an increased demand for clinical treatment of their species. Reproductive diseases in rabbits are rarely described in veterinary literature, with few cases of dystocia and fetal death reported. We report a case of dystocia in a 75 days old rabbit presented with a history of purulent vaginal discharge and loss of appetite. Dystocia was diagnosed by physical and radiographic examination, and ovariohisterectomy was recommended. Accurate diagnosis, immediate intervention and adequate treatment resulted in good postoperative outcome.
Keywords: leporine, parturition, ovariohisterectomy
Resumen: La adopción de conejos como animales de compañía ha crecido durante los últimos años en Brasil, así como también lo ha hecho el número de consultas en clínicas veterinarias. Las enfermedades reproductivas son poco relatadas en las publicaciones científicas, con raras descripciones de distocia y muerte fetal. Este trabajo tiene como objetivo describir un caso de distocia en una coneja de 75 días que llegó a consulta por presentar secreción vaginal purulenta y falta de apetito. Después del examen físico y radiográfico, fue diagnosticado un cuadro de distocia, por lo que la paciente fue derivada para la realización de una ovariohisterectomía. Un diagnóstico preciso, la rápida intervención y el tratamiento adecuado resultaron fundamentales para la rápida mejora de la paciente durante el postoperatorio.
Palabras clave: leporino, parto, ovariohisterectomía
Introdução
A adoção de coelhos (Oryctolagus cuniculus) como animais de estimação tem crescido no país, por serem animais dóceis, fáceis de cuidar e se adaptarem bem a pequenos espaços, podendo ser criados até mesmo em apartamentos, sempre dentro de condições básicas de saúde e bem-estar animal 1,2.
Além dos coelhos sem raça definida, existem inúmeras raças que variam de tamanho, cor, tipo de pelagem e conformação de orelhas. As mais populares são mini lop, miniature lop, netherland dwarf (anão-holandês), hotot, fuzzy lop e lion head (cabeça-de-leão). O coelho anão-holandês é um dos mais procurados e adapta-se bem a variados tipos de ambiente e manejo. Considerado um animal de porte pequeno ou míni, com peso variando entre 0,9 kg e 2,5 kg, vive de seis a oito anos, e pode chegar aos 12 anos (em condições ideais de manejo e sanidade) 1-3.
A casuística de atendimento de lagoformos em clínicas veterinárias especializadas tem aumentado consideravelmente. As enfermidades mais descritas em coelhos são as afecções de pele, odontológicas e no trato gastrintestinal 4. As afecções do sistema reprodutor feminino não são tão relatadas, apesar da necessidade eminente, visto que as coelhas são animais com atividade reprodutiva intensa. O conhecimento da anatomia, da fisiologia e da semiologia é necessário para o correto atendimento do animal, bem como para o estabelecimento da terapêutica adequada 1,5.
Os lagomorfos têm uma anatomia uterina distinta das outras espécies domésticas, uma vez que cada corno uterino está conectado a uma cérvix que se abre diretamente na vagina 6. A maturidade sexual nessa espécie é atingida por volta de quatro a cinco meses de idade. O ciclo estral tem uma variação de 16 a 18 dias, e, assim como nas gatas, a ovulação das fêmeas leporinas é induzida pelo coito, e ocorre em média 10 horas após o acasalamento. A ciclicidade das fêmeas é estimulada pela nutrição adequada, pelo desenvolvimento corporal e pela presença do macho. Contudo, o período ideal de reprodução inicia-se a partir de quatro meses até os cinco anos de idade, dependendo do peso e do desenvolvimento corporal da fêmea 7. O período de gestação dura em média de 30 a 33 dias, sendo o tamanho médio da ninhada de seis a oito filhotes 1,6,8.
Após o parto, os filhotes devem ser mantidos em ambiente aquecido e próximos à mãe ou com cuidados específicos por aproximadamente sete semanas, até se tornarem independentes. Os problemas mais comuns em neonatos são: hipotermia, traumas, canibalismo, hipoglicemia e infecções oportunas 1.
A distocia é caraterizada pela incapacidade materna de expulsar o concepto do interior do útero durante o parto, sendo que as causas podem ser de origem materna ou fetal. Os fatores maternos incluem anormalidades pélvicas (estreitamentos), uterinas (inércia/atonia) ou vaginais, bem como quadros de desnutrição, parasitismo e obesidade 8,9.
A atonia uterina pode ser primária ou secundária. A primária é caracterizada pelo prolongamento da gestação sem a evolução para o parto. Está associada a hipocalcemia, obesidade, distensão excessiva do miométrio em casos de ninhadas grandes e estímulo inadequado para o parto em ninhadas pequenas. É menos comum que a atonia uterina secundária. Esta normalmente é definida pela exaustão miometrial depois de um prolongado período de contração, sem sucesso na expulsão do produto 8-10. As causas fetais são decorrentes de alterações na estática fetal, do tamanho do concepto e de malformações 8,9,11.
Casos de distocia não são comuns em coelhas, pois o parto eutócico costuma ser rápido, cerca de 30 minutos após o seu início 4,10. Contudo, fêmeas primíparas, com menos de quatro anos de idade e de raças pequenas podem ser mais acometidas 12. A maturidade sexual é atingida apenas aos quatro meses de idade, uma vez que após esse período a fêmea é capaz de levar uma gestação a termo sem comprometer seu desenvolvimento corporal, e por conseguinte apresentar um parto eutócico 7.
Os indícios de distocia na fêmea leporina são contrações uterinas persistentes sem expulsão do concepto e presença de sangramento ou secreção vaginal de coloração marrom-esverdeada 13. O tratamento recomendado de distocia decorrente de atonia uterina consiste em reidratação e administração oral de cálcio 10% (5 a 10 mL) 30 minutos antes da aplicação intramuscular de ocitocina (0,1 a 3 U/kg) 13-15. A cesariana ou a ovariossalpingo-histerectomia (OSH) não eletiva estão indicadas nos casos em que a terapêutica medicamentosa não obtiver sucesso ou em casos de morte e putrefação fetal 1,5.
A putrefação fetal pela morte do concepto e sua não expulsão do interior do útero materno pode resultar de atonia uterina, sendo um processo séptico, pela ascensão de bactérias via cérvix, com tempo de evolução de 24 a 72 horas após o início do parto 10,11.
O diagnóstico de distocia é realizado por meio do histórico da paciente, pela observação dos sinais clínicos e pelo exame físico geral e de imagem, como a radiografia e a ultrassonografia, para detectar a presença de fetos retidos no interior do útero materno e sua viabilidade 11,12. A morte fetal pode ser avaliada por meio de ultrassonografia, ao se observar a ausência de batimentos cardíacos. Em casos de morte e putrefação fetal, a intervenção cirúrgica faz-se necessária, e a OSH é a técnica de eleição, associada à antibioticoterapia sistêmica, para prevenir o quadro de septicemia 16. O presente trabalho tem por objetivo relatar um caso de distocia e morte fetal em uma coelha da raça anão-holandês.
Caso clínico
Foi atendida em uma clínica veterinária uma coelha infanta de 75 dias de idade da raça anão-holandês, de 1,6 kg de peso corporal, com histórico de secreção vaginal purulenta, apatia e inapetência havia um dia. A proprietária relatou que havia adquirido mais um coelho do mesmo criador um mês antes para fazer companhia à primeira, porém não sabia que o animal era macho, e não observou o acasalamento dos animais.
No último dia, notou que a coelha estava mais apática, e quando a pegou no colo, observou a secreção vaginal. Segundo a proprietária, o animal não havia feito ninho e nem mostrou sinais de trabalho de parto.
Durante o exame físico, observou-se a presença de secreção vaginal purulenta (Figura 1), ausência de contração uterina, mucosas normocoradas, temperatura corporal de 38,5 ºC e auscultação cardíaca e pulmonar sem alterações.

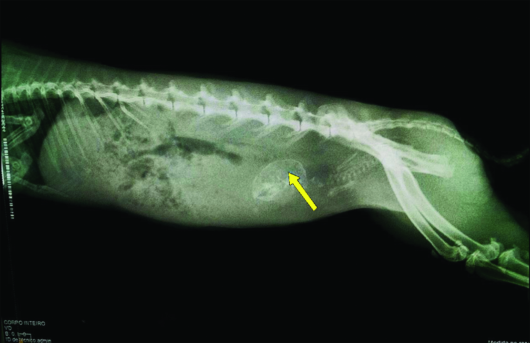
Na palpação abdominal, havia presença de estrutura de consistência firme na região do útero. Com diagnóstico presuntivo de distocia, realizou-se uma incidência radiográfica lateral, observando-se o esqueleto de um feto no interior do útero (Figura 2), assim como a presença de linhas de crescimento nas epífises ósseas dos membros pélvicos da mãe. Como a proprietária tinha pouco recurso para custear os gastos com o animal, não se realizou exame ultrassonográfico.

Em função da provável morte fetal, indicada pela presença de secreção purulenta e pela comprovação de feto retido no útero, além do tamanho reduzido da mãe e da ausência de dilatação da vagina, optou-se pelo tratamento cirúrgico por meio de OSH não eletiva.
Para a realização do procedimento cirúrgico, o protocolo anestésico empregado foi a associação de 35 mg/kg de cloridrato de cetamina a com 5 mg/kg de xilazina b, aplicados pela via intramuscular. A manutenção anestésica se deu pela aplicação de 17,5 mg/kg de cloridrato de cetamina e 2,5 mg/kg de xilazina, sendo necessária apenas uma aplicação, por via intramuscular 15,17.
Após tricotomia da região abdominal, realizou-se a antissepsia local com tintura de iodo 2% c e álcool 70% d. Procedeu-se à incisão da pele, da musculatura abdominal e do peritônio, seguindo-se a exposição dos cornos uterinos 17. Em seguida procedeu-se à ligadura dos pedículos ovarianos, seguida de transfixação e ligadura da cérvix com fio absorvível sintético e (poliglactina 2-0) e de posterior secção.
Em seguida, procedeu-se à laparorrafia, com sutura padrão Sultan e fio absorvível sintético f (poliglactina 1-0). A dermorrafia foi realizada com pontos de Wolff e fio inabsorvível sintético g (mononylon 1-0). Depois da exérese cirúrgica, o útero foi aberto e visualizou-se o feto sem vida, confirmando o diagnóstico clínico (Figura 3).

Durante o pós-cirúrgico, estabeleceram-se os protocolos antimicrobiano, anti-inflamatório e analgésico à base de 10 mg/kg de enrofloxacina h a cada 24 horas, durante sete dias consecutivos, e 0,1 mg/kg de meloxicam i a cada 24 horas, durante três dias consecutivos. A ferida cirúrgica era limpa com gaze e tintura de iodo a 2% diariamente. Dez dias após a cirurgia, ao retornar à clínica veterinária para a retirada dos pontos, o animal se encontrava em bom estado clínico (Figura 4), alimentando-se normalmente, sem queixa de alterações adicionais.

Discussão
A prevalência de enfermidades em coelhos era descrita como rara na literatura, porém, com a ampliação da procura desses animais para companhia, tem aumentado o número de atendimento dessa espécie em clínicas veterinárias, e novas afecções vêm sendo identificadas e descritas pela comunidade veterinária 1,19,20.
O fator predisponente de distocia nesse caso pode estar associado à idade da fêmea e pelo fato de ser primípara, coincidindo com a literatura consultada, que relata que as fêmeas leporinas primíparas, jovens e de raças pequenas são mais predispostas à distocia 4,12,20.
Como não se detectou a presença de contrações uterinas durante o exame físico, preconizou-se que a atonia uterina culminou com a não expulsão do concepto, e, por conseguinte, levou à morte fetal. Dessa maneira, a causa foi aparentemente de origem materna, uma vez que a fêmea de 75 dias (de idade) ainda estava em desenvolvimento e não se encontrava completamente apta à atividade reprodutiva. Como o feto era maior do que a abertura do canal do parto, as forças de expulsão improdutivas culminaram com a atonia uterina secundária – uma das causas mais comuns de distocia 8,9. Contudo, deve-se levar em consideração que o tamanho médio da ninhada de coelhas é de seis a oito filhotes 1,6, e nesse caso havia apenas um, o que possibilitou o desenvolvimento maior do que o normal, considerando que não havia outros fetos nos cornos uterinos.
O exame radiográfico foi imprescindível para confirmar o diagnóstico, indicando a presença de feto retido no interior do útero materno. Os exames de imagem indicados nos casos de distocia na literatura são a radiografia e a ultrassonografia 11,12. No presente estudo utilizou-se apenas o exame radiográfico, pela disponibilidade, o que permitiu a confirmação da suspeita clínica, não sendo realizado o exame ultrassonográfico, em função da falta de recursos da proprietária.
Dado o tempo decorrido entre a detecção da secreção vaginal purulenta e o atendimento veterinário, além da presença de feto retido em útero, visibilizado pela imagem radiográfica, optou-se pela OSH não eletiva – tratamento de escolha em casos de morte fetal, pois a retirada do útero fechado evita a infecção peritoneal e diminui a ocorrência de septicemia 21.
As fluorquinolonas, associação de sulfa e trimetoprima, além dos aminoglicosídeos, são consideradas seguras para uso em coelhos 14. Neste estudo, optou-se pelo emprego de enrofloxacina, que tem excelente resultado no combate à proliferação bacteriana nessa espécie 15.
O protocolo analgésico nesse caso foi à base de meloxicam, um anti-inflamatório não esteroide indicado para uso em coelhos, devido à facilidade de estabelecer as doses e frequências seguras provadas por diversos estudos laboratoriais e clínicos 15,22.
Conclusão
No presente caso, os sinais clínicos e o exame complementar foram essenciais para o correto diagnóstico de distocia e o estabelecimento da terapêutica adequada. O exame ultrassonográfico, fundamental para analisar a viabilidade fetal, não foi realizado em decorrência dos poucos recursos da proprietária. O diagnóstico preciso, a intervenção imediata e o tratamento adequado foram fundamentais para a rápida melhora clínica do animal durante o pós-operatório.
Produtos utilizados
a) Dopalen®. Ceva Brasil. Paulínia, SP, Brasil.
b) Anasedan®. Ceva Brasil. Paulínia, SP, Brasil.
c) Tintura de iodo 2%. Vic Pharma. Taquaritinga, SP, Brasil.
d) Álcool 70%. Vic Pharma. Taquaritinga, SP, Brasil.
e) Vicryl®. Johnson & Johnson do Brasil. São Paulo, SP, Brasil.
f) Vicryl®. Johnson & Johnson do Brasil. São Paulo, SP, Brasil.
g) Nylon®. Shalon Medical. Goiânia, Go, Brasil.
h) Floxiclin®. Biofarm Química e Farmacêutica. Jaboticabal, SP, Brasil.
i) Maxicam® 0,2%. Ourofino Saúde Animal. Cravinhos, SP, Brasil.
Referências
01-PESSOA, C. P. Lagomorpha (Coelho, lebre e tapiti). In: CUBAS, Z. S. ; SILVA, J. C. R. ; CATÃO-DIAS, J. L. Tratado de animais selvagens: medicina veterinária, 2. ed. São Paulo: Roca, 2014, p. 1209-1237. ISBN: 978-8527726184.
02-TONDELA, H. A. A. A prática médico-veterinária de animais exóticos de companhia. 2018. 97 f. Dissertação (Mestrado Integrado em Medicina Veterinária) – Escola de Ciências e Tecnologia, Departamento de Medicina Veterinária, Universidade de Évora, Évora, Portugal, 2018.
03-HEKER, M. M. Opinião: a cunicultura pet no Brasil. Revista Brasileira de Cunicultura, v. 7, n. 1, p. 1-8, 2015.
04-EASSON, W. A review of rabbit and rodent production medicine. Seminars in Avian and Exotic Pet Medicine, v. 10, n. 3, p. 131-139, 2001. Doi: 10.1053/saep.2001.24252.
05-TENA-BETANCOURT, E. ; HERNÁNDEZ-GODÍNEZ, B. ; IBÁÑEZ-CONTRERAS, A. ; REYES-PANTOJA, S. ; ZÚÑIGA-MUÑOZ, A. M. ; GRAULLERA-RIVERA, V. Posible superfectación en una coneja raza NZB (Oryctolagus cuniculus) concomitante a retraso del desarrollo intrauterino (RDIU). Spei Domus, v. 9, n. 19, p. 49-56, 2013. Doi: 10.16925/sp.v9i19.709.
06-BISHOP, C. R. Reproductive medicine of rabbits and rodents. The Veterinary Clinics of North America: Exotic Animal Practice, v. 5, n. 3, p. 507-535, 2002. Doi: 10.1016/s1094-9194(02)00019-1.
07-VEGA, M. D. ; BARRIO, M. ; QUINTELA ARIAS, J. J. ; BECERRA, J. J. ; CAINZOS, J. ; PRIETO, A. ; RODRIGUEZ-ZAMORA, A. ; HERRADÓN, P. G. Evolución del manejo reproductivo en cunicultura. Información Técnica Económica Agrária -ITEA, v. 108, n. 2, p. 172-190, 2012. ISSN: 1699-6887.
08-CORNELIUS, A. J. ; MOXON, R. ; RUSSENBERGER, J. ; HAVLENA, B. ; CHEONG, S. H. Identifying risk factors for canine dystocia and stillbirths. Theriogenology, v. 218, n. 1, p. 201-206, 2019. Doi: 10.1016/j.theriogenology.2019.02.009.
09-JUTKOWITZ, L. A. Reproductive emergencies. Veterinary Clinics North America: Small Animal Practice, v. 35, n. 2, p. 397-420, 2005. Doi: 10.1016/j.cvsm.2004.10.006.
10-RAIMUNDO, I. S. Estudo e caracterização da doença uterina em coelhas. 2020. 68 f. Dissertação (Mestrado Integrado em Medicina Veterinária) – Faculdade de Medicina Veterinária, Universidade de Lisboa, Lisboa, 2020.
11-RUNCAN, E. Diagnostic imaging: an essential tool in the successful management of canine dystocia. The Veterinary Record, v. 184, n. 13, p. 406-408, 2019. Doi: 10.1136/vr.l855.
12-GLEESON, M. D. ; GUZMAN, D. S. M. ; PAUL-MURPHY, J. R. Clinical and pathological findings for rabbits with dystocia: 10 cases (1996-2016). Journal of the American Veterinary Medical Association, v. 254, n. 8, p. 953-959, 2019. Doi: 10.2460/javma.254.8.953.
13-SARKAR, P. ; MANDAL, D. ; KUMAR, V. ; MONDAL, M. Dystocia in rabbit and its surgical management. Exploratory Animal and Medical Research, v. 7, n. 2, p. 216-217, 2017. ISSN: 2277-470X.
14-DICKIE, E. Dystocia in a rabbit (Oryctolagus cuniculus). The Canadian Veterinary Journal, v. 52, n. 1, p. 80-83, 2011.
15-FISHER, P. ; GRAHAM, J. Rabbits. In: CARPENTER, J. W. Exotic Animal Formulary. 5. ed. Missouri: Elsevier, 2017. p.494-531. ISBN: 978-0-323-44450-7.
16-LUZ, M. R. ; FREITAS, P. M. C. ; PEREIRA, E. Z. Gestação e parto em cadelas: fisiologia, diagnóstico de gestação e tratamento das distocias. Revista Brasileira de Reprodução Animal, v. 29, n. 3/4, p. 142-150, 2005.
17-SANFORD, T. D. ; COLBY, E. D. Effects of xylazine and ketamine on blood pressure, heart rate and respiratory rate in rabbits. Laboratory Animal Science, v. 30, n. 3, p. 519-23, 1980.
18-BENATO, L. ; HAMMOND, J. Rabbit neutering in primary-care education: insights from a surgical clinic. Journal of Veterinary Medical Education, v. 45, n. 1, p. 91-98, 2018. Doi: 10.3138/jvme.0916-149r.
19-BROWER, M. Practitioner’s guide to pocket pet and rabbit theriogenology. Theriogenology, v. 66, n. 3, p. 618-623, 2006. Doi: 10.1016/j.theriogenology.2006.04.015.
20-BERTRAM, C. A. ; KLOPFLEISCH, R. ; MÜLLER, K. Ovarian lesions in 44 rabbits (Oryctolagus cuniculus). The Journal of Veterinary Medical Science, v. 79, n. 12, p. 1994-1997, 2017. Doi: 10.1292/jvms.17-0358.
21-SALES, K. K. S. ; RODRIGUES, N. M. ; RUFINO, A. K. B. ; LUZ, P. M. S. Maceração fetal em gata: relato de caso. PubVet, v. 10, n. 12, p. 909-912, 2016. Doi: 10.22256/pubvet.v10n12.909-912.
22-BENATO, L. ; ROONEY, N. J. ; MURRELL, J. C. Pain and analgesia in pet rabbits within the veterinary environment: a review. Veterinary Anaesthesia and Analgesia, v. 46, n. 2, p. 151-162, 2019. Doi: 10.1016/j.vaa.2018.10.007.3.767.



