Hyperestrogenism due to a metastatic process of Sertoli cells tumor: case report
Hiperestrogenismo debido a metástasis de tumor de células de Sertoli: descripción del caso
Clínica Veterinária, n. 83, p. 62-66, 2009
Resumo: Um cão macho sem raça definida, de treze anos de idade e apresentando aumento de volume em região inguinal com evolução de dois anos e crescimento progressivo, foi atendido no Hospital Veterinário da Universidade Anhembi Morumbi. Por exame ultrassonográfico abdominal e análise histopatológica pós-orquiectomia, constatou-se criptorquidismo e sertolinoma. Mesmo após a retirada dos testículos, a produção hormonal não cessou – sugerindo processo metastático em linfonodos sublombares e ilíacos – e o quadro de síndrome de feminização evoluiu, além de anemia secundária ao hiperestrogenismo. É importante ressaltar que, apesar de raros, deve-se atentar para tumores testiculares metastáticos mesmo em cães castrados com sinais de feminização ou pancitopenia.
Unitermos: cão, endocrinologia, criptorquidismo, pancitopenia, feminização
Abstract: A 13-year-old male mongrel dog was referred to the veterinary hospital of Anhembi Morumbi University with a two-year-old inguinal mass that presented progressive growth. Abdominal ultrasonography and post-orchiectomy histopathological analysis revealed cryptorchidism and Sertoli cells tumor. Hormonal production did not cease after testicle removal, suggesting a metastatic process in the iliac and sublumbar lymph nodes. As a result, the feminization syndrome evolved, as well as anemia secondary to the hyperestrogenism. It is important to stress that, although unusual, metastatic tumors of testicular origin can occur even in neutered animals. In these cases, clinicians need to be alert for signs of feminization or pancytopenia.
Keywords: dog, endocrinology, cryptorchidism, pancytopenia, feminization
Resumen: Se presentó para consulta un perro macho, mestizo de 13 años de edad y que presentaba aumento de volumen en la región inguinal y evolución progresiva de dos años. Con un diagnostico ecográfico de criptorquidismo, fue realizada la orquiectomia y atraves de examen histopatologico, se diagnosticó un tumor de celulas de Sertoli. Aun después de realizada la retirada de los testículos, la producción hormonal no disminuyó, sugiriendo un proceso metastático en linfonodos sublumbares e ilíacos. El cuadro de sindrome de feminización aumentó, ademas de una anemia secundaria al hiperestrogenismo. Es importante resaltar que, a pesar de su baja incidencia, se debe pensar en la posibilidad de metastasis de tumores testiculares, aun en machos castrados, cuando existan signos de feminización o pancitopenia.
Palabras clave: perro, endocrinología, criptorquidismo, pancitopenia, feminización
Introdução
O testículo é o local anatômico mais comum para o desenvolvimento tumoral em cães machos inteiros, sendo responsável por aproximadamente 90% das neoplasias do sistema reprodutor masculino 1. Tumores testiculares são achados comuns em cães e a prevalência varia de 0,068 a 4,6%, acometendo principalmente os idosos 1-3.
Os tumores testiculares primários derivam de três elementos testiculares: células intersticiais de Leydig, células de Sertoli e do epitélio espermático germinativo. As transformações malignas desses elementos originarão, respectivamente: tumores de células intersticiais de Leydig, tumores de células de Sertoli – ou sertolinomas – e seminomas 1. Esses tumores ocorrem com igual frequência, no entanto, afetam treze vezes mais cães criptorquídicos (que apresentam testículos intra-abdominais ou inguinais) 4. Não há predileção pelo testículo direito ou esquerdo, porém, a localização do testículo direito é mais cranial que a do esquerdo, assim, este tem que percorrer uma distância maior até atingir o escroto e, por esse motivo, é mais comumente retido e predisposto a tumorogênese 5. Amaioria dos tumores testiculares são localizados e metástases regionais ou distantes são incomuns, ocorrendo em menos de 15% dos casos de sertolinoma 1. Além do criptorquidismo, há outros fatores de risco para a tumorogênese testicular primária: cães com idade a partir de dez anos e das raças boxer, pastor-alemão, afghan-hound, weimaraner e pastor-de-shetland 1.
Os sinais e sintomas associados aos tumores testiculares são variáveis, podendo ser causados por tumores primários, metástases ou em consequência de síndrome paraneoplásica. Na palpação, é comum a presença de aumento de volume testicular ou massas testiculares, abdominais ou inguinais, além de atrofia do testículo contralateral normal. O exame ultrassonográfico de escroto e abdômen auxilia o diagnóstico 1,4.
O hiperestrogenismo pode ser uma manifestação paraneoplásica de tumores testiculares primários, mensurado por dosagem sanguínea, e que pode causar a síndrome de feminização, caracterizada por alopecia simétrica bilateral, hiperpigmentação, prepúcio penduloso, ginecomastia, galactorreia, atrofia peniana e metaplasia escamosa da próstata. Assim, durante o exame físico, deve-se atentar para a inspeção da coloração da pele, do pelame, do prepúcio e das mamas 1.
Sertolinomas de testículos criptorquídicos intra-abdominais são mais comumente associados com hiperestrogenismo, sendo que 19% dos cães com sertolinoma apresentam a síndrome de feminização 6. Além dessas alterações verificadas mediante exame físico, o hiperestrogenismo pode ter consequências hematológicas irreversíveis como hipoplasia de medula óssea, gerando pancitopenia. Amielotoxicidade por estrógeno ocorre em 15% dos cães com sertolinoma que apresentam síndrome de feminização 4.
Nos casos de doença não metastática, a orquiectomia com ablação escrotal é o tratamento de escolha e curativo. Após a retirada do testículo, deve-se proceder a análise histopatológica para confirmação de diagnóstico. O prognóstico para animais com alterações hematológicas associadas a infecção secundária ou hemorragia é reservado devido à alta morbidade e mortalidade dessa condição 1.
Neste artigo será descrito um caso incomum de hiperestrogenismo secundário a metástases de sertolinoma em linfonodos sublombares e ilíacos.
Relato de caso
Foi encaminhado ao Hospital Veterinário da Universidade Anhembi Morumbi um cão macho, sem raça definida (SRD), de médio porte e treze anos de idade, apresentando aumento de volume em região inguinal com evolução de dois anos e crescimento progressivo.
Segundo o proprietário, o animal havia sido medicado com anti-inflamatório, sem melhora. Ao exame físico, o estado geral era regular, destacando-se a presença de alopecia em região dorsal e hiperpigmentação da pele. O animal estava hidratado, com mucosas normocoradas e à auscultação apresentava bulhas regulares normofonéticas sem sopro (Figuras 1 e 2).

À palpação, observou-se a presença somente do testículo direito em bolsa escrotal e aumento de volume em região inguinal esquerda (aproximadamente 15 cm de diâmetro, consistência firme e não aderido). Na palpação retal, observou-se aumento prostático.
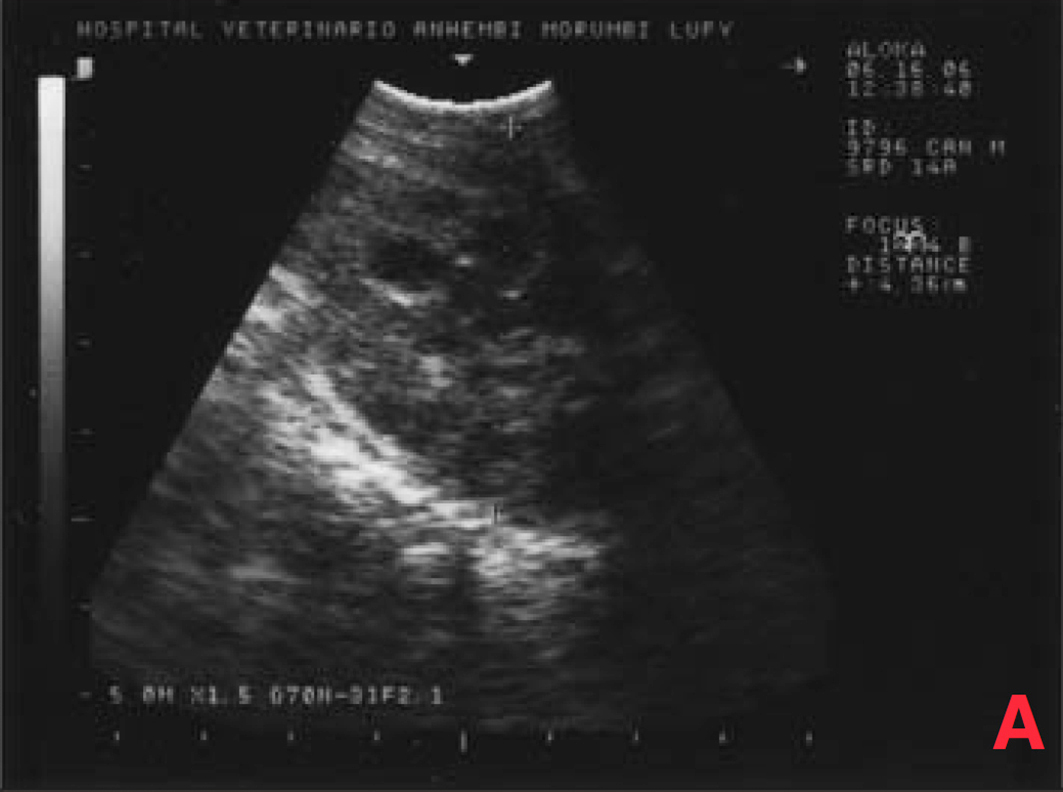
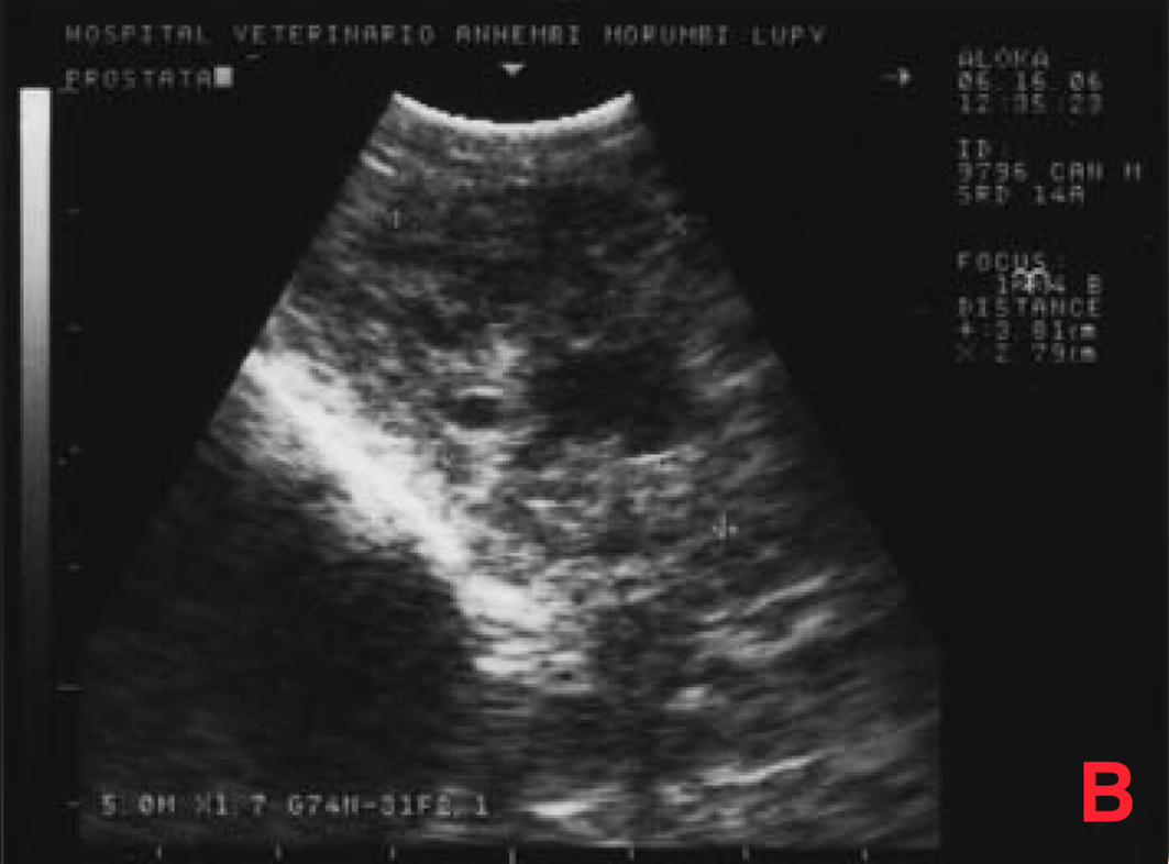
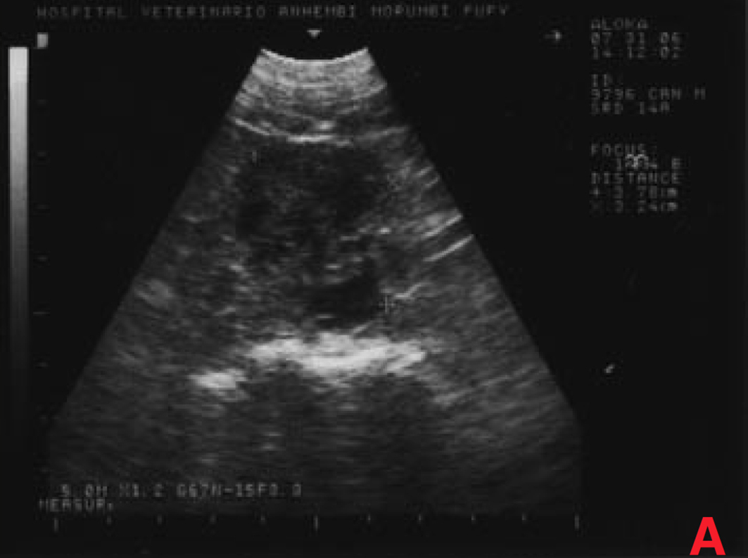
Não houve alterações na avaliação hematológica, na bioquímica (creatinina, ureia) e na radiografia torácica, porém o exame ultrassonográfico mostrou aumento de próstata (4,3 x 3,8 x 2,8cm), com áreas císticas difusas pelo parênquima (imagens sugestivas de hiperplasia prostática benigna/prostatite); somente um testículo em bolsa escrotal; grande aumento de volume em região inguinal esquerda (formação heterogênea em ecotextura e ecogenicidade) e aumento de cadeia de linfonodos sublombares e ilíacos (medindo até 2,4 x 1,6cm, com ecogenicidade e ecotextura heterogêneas) (Figura 3).



O tratamento realizado foi a orquiectomia com a retirada do provável tumor testicular inguinal. No pós-operatório, utilizou-se cetoprofeno (2 mg/kg, BID durante quatro dias) e amoxicilina (22 mg/kg, BID durante sete dias), ocorrendo evolução favorável da ferida cirúrgica.
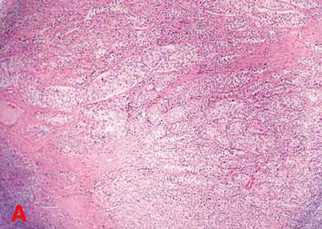
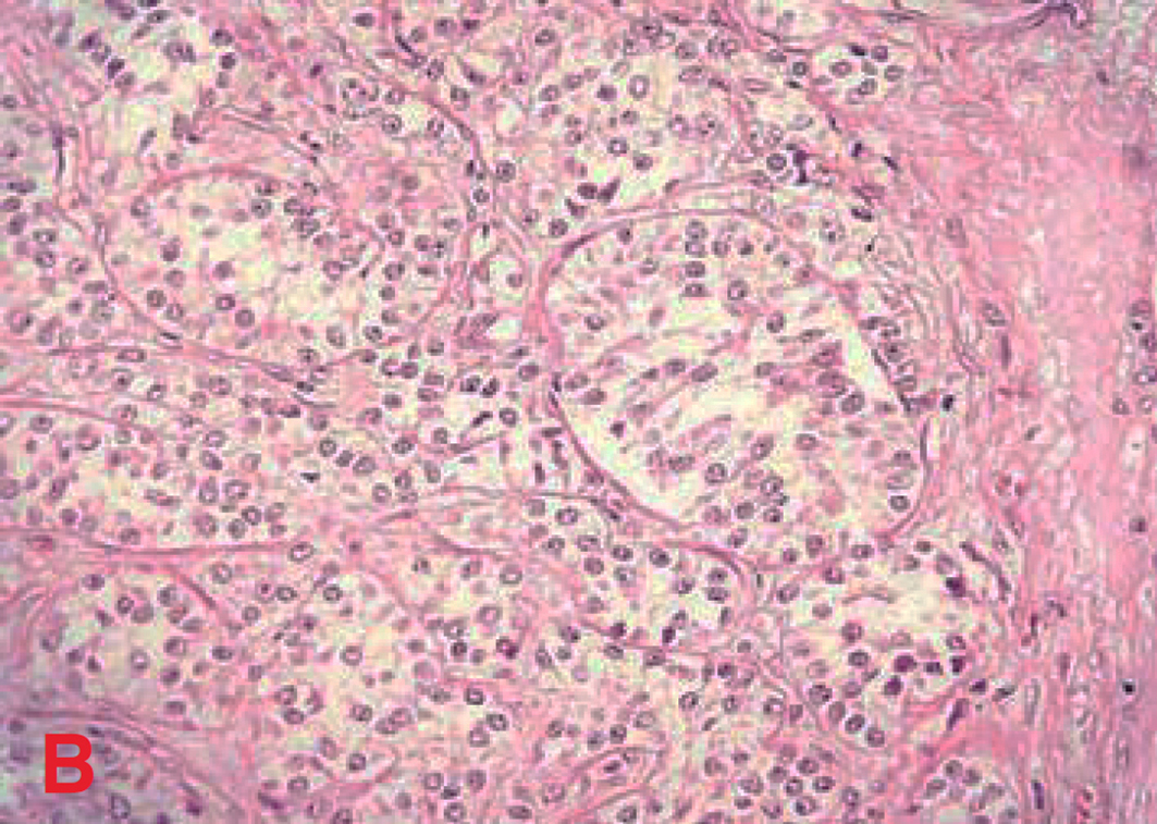
Na análise histopatológica do testículo criptorquídico, observou-se macroscopicamente superfície lisa e esbranquiçada, que ao corte era acastanhada. E o exame microscópico revelou uma proliferação de tecido epitelial composto por múltiplos lóbulos delineados por espesso estroma fibroso, apresentando estes diversos túbulos revestidos por células altas e cilíndricas, arranjadas em paliçada sobre a membrana basal, as quais apresentavam núcleos polares arredondados e nucléolos conspícuos (Figura 4). Os citoplasmas mostravam-se discretamente acidofílicos, com bordos pouco precisos. Figuras de mitoses atípicas foram visualizadas com baixa frequência. Tal descrição levou à conclusão de que se tratava de um sertolinoma.


Após vinte dias, o estado do animal era bom. Realizou-se então um exame ultrassonográfico de controle, através do qual se observou que o volume da próstata continuava crescendo e que os linfonodos sublombares e ilíacos tinham aumentado, passando a medir 5 x 3,8 x 3,2cm, com ecogenicidade e ecotextura heterogêneas, devendo-se considerar a possibilidade de processo metastático.
Instituiu-se tratamento profilático com enrofloxacina (5 mg/kg, BID durante quinze dias) e foi solicitado retorno em quinze dias para realização de exames complementares (exame citológico e histopatológico) que confirmassem o diagnóstico de metástases. Porém, o proprietário retornou somente após quatro meses, com a queixa de hiporexia e urina em quantidade menor e de aspecto purulento. O estado geral do animal era ruim, a temperatura normal (38,5 ºC), mucosas congestas, destacando-se a presença de alopecia simétrica bilateral, hiperpigmentação abdominal mais acentuada, ginecomastia, prepúcio penduloso e atrofia peniana. À palpação, presença de formações de aproximadamente 5 cm de diâmetro de consistência firme em cavidade abdominal, além de maior aumento prostático (Figuras 5 e 6).


Realizaram-se hemograma completo, perfil renal, exame ultrassonográfico e verificação de dosagens de estradiol, progesterona e testosterona. No hemograma, observou-se anemia normocítica e normocrômica (Figura 7) e leucocitose acentuada por neutrofilia com desvio à esquerda; a creatinina estava levemente aumentada e a ureia dentro dos parâmetros de normalidade. A urinálise revelou presença de cocos e bastonetes, leucócitos incontáveis e sangue oculto em grande quantidade. Houve aumento nos valores de estradiol, além de redução nos níveis de testosterona quando comparados aos valores de normalidade para a espécie (Figura 8).

| Parâmetros | Valores | Referências• |
| Estradiol | 29,45 | inferior a 18 ng/mL |
| Progesterona | 3,9 | inferior a 0,4 ng/mL |
| Testosterona | 0,1 | 1 a 7 ng/mL |
Figura 8 – Dosagens séricas de estradiol, progesterona, testosterona pelo método de radioimunoensaio
* método de radioimunoensaio (Coat-a-count, DPC, USA)
validado pelo Laboratório Rhesus Veterinária
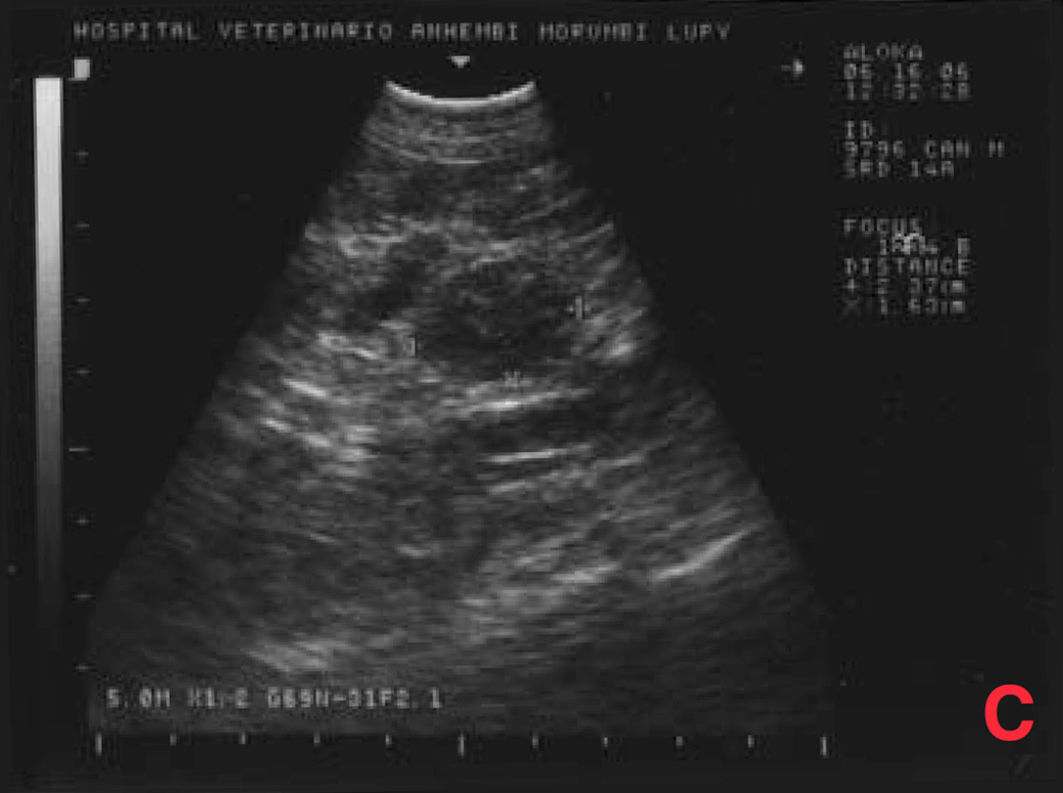
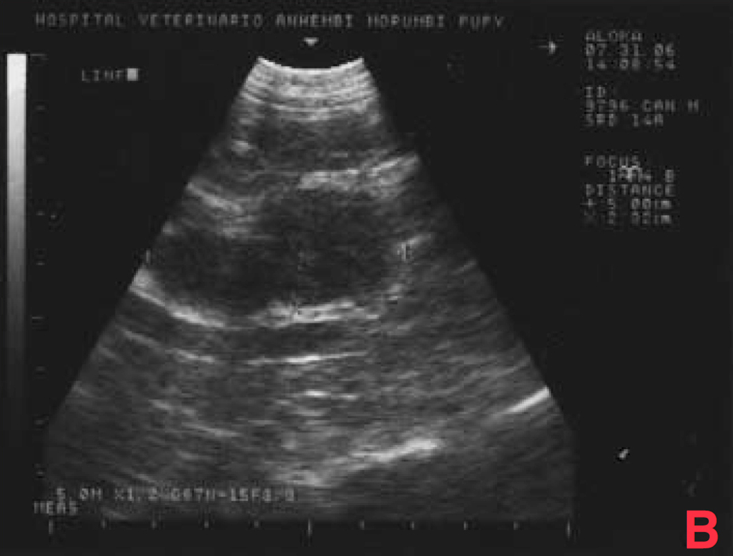
O exame ultrassonográfico demonstrou aumento de próstata mais acentuado (6 x 5 x 5,6 cm), com áreas císticas/cavitárias difusas pelo parênquima (sugestivas de hiperplasia prostática benigna/prostatite/neoplasia) e aumento de cadeia de linfonodos sublombares e ilíacos (5 x 4,6 x 4 cm), com ecogenicidade e ecotextura heterogêneas, sugestivo de processo metastático (Figura 9).


Procedeu-se ao exame de citologia aspirativa por agulha fina dos linfonodos e da próstata. Na punção de linfonodo, havia presença de inúmeros elementos celulares neoplásicos apresentando núcleo redondo, cromatina grosseira, nucléolos evidentes, citoplasma basofílico e alguns com pequenos vacúolos, quadro compatível com mestástase de sertolinoma. Na próstata, foram descritas grande quantidade de material amorfo sugestivo de necrose e células epiteliais queratinizadas, compatíveis com metaplasia escamosa da próstata.
Sugeriu-se biópsia excisional dos linfonodos e posterior quimioterapia como forma de tratamento. O proprietário não aceitou, devido aos riscos cirúrgicos e optou pelo tratamento de suporte. O proprietário informou por telefone que após 30 dias do retorno, optou pela eutanásia do animal.
Discussão
A suspeita diagnóstica de tumor testicular se estabeleceu pelo achado do exame físico: massa em região inguinal (testículo criptorquídico), presença de somente um testículo em bolsa escrotal e região dorsal alopécica e hiperpigmentada. A partir desses achados e em função do bom estado geral do animal, indicou-se a orquiectomia e posterior análise histopatológica testicular, essencial para a verificação do tipo de tumor testicular, com características particulares de sertolinoma, bem como para o procedimento relativo ao quadro de linfadenomegalia.
O crescimento tumoral e sua localização estão relacionados com o grau de feminização, pois a produção de estrógeno é geralmente proporcional ao tamanho do tumor e mais elevada em tumores intra-abdominais 7. No caso descrito, o cão era criptorquídico; o tempo de evolução foi de dois anos, de acordo com o proprietário e, além disso, o diâmetro tumoral atingira quase 15 cm. Inicialmente ocorreram metástases em linfonodos sublombares e inguinais. Tais dados corroboram os achados da literatura, que sugerem que os processos metastáticos atingem mais comumente linfonodos lombares e inguinais, podendo acometer fígado, parênquima pulmonar, rins, baço, glândulas adrenais, pâncreas, pele, olhos e sistema nervoso central 1.
O achado de metástases de sertolinoma após a ressecção dos testículos raramente ocorre. Há a descrição do surgimento de metástases em tecido escrotal e cordão espermático em doze cães orquiectomizados, sendo que um apresentava síndrome de feminização 13. No caso descrito, antes do procedimento de orquiectomia, o animal já apresentava sintomas de feminização (alopecia em região dorsal e hiperpigmentação), porém, com a evolução das metástases em linfonodos sublombares e inguinais, houve o agravamento do quadro de hiperestrogenismo: aumento de regiões alopécicas, ginecomastia, prepúcio penduloso e atrofia peniana, sinais e sintomas de síndrome de feminização, caracterizando uma situação incomum, pois, mesmo após a excisão da neoplasia, as metástases mantiveram a produção hormonal 1. Além disso, alterações prostáticas como metaplasia escamosa da próstata, prostatite, cistos e abscessos prostáticos também são manifestações secundárias ao hiperestrogenismo, e foram achadas após a orquiectomia 8.
Os exatos mecanismos da síndrome de feminização não são claros. Tal síndrome pode resultar da síntese direta de estradiol pelas células neoplásicas testiculares, da conversão de compostos androgênicos em estradiol pelos tecidos periféricos ou pelas células neoplásicas e pelo desequilíbrio na relação testosterona/estradiol 1. Há três tipos mais importantes de estrógenos circulantes nos machos: estrona, estradiol e estriol, sendo que o estradiol é a forma fisiologicamente ativa. O sertolinoma é o principal tumor testicular produtor de altas concentrações de estrógenos em cães; altos níveis de estradiol, associados à redução da testosterona e da relação testosterona/estradiol, são indicativos de tumores testiculares 9. A diminuição dos níveis de testosterona decorre do hiperestrogenismo, que suprime a secreção do hormônio luteinizante e, consequentemente, a produção de testosterona, pelo eixo hipotálamo-hipófise-gonadal 7. Há relato de dois casos de diminuição significativa de testosterona, que apresentavam hiperestrogenismo associado 9.
Pela citologia aspirativa por agulha fina dos linfonodos e da próstata estabeleceu-se respectivamente o diagnóstico de processos metastáticos de sertolinoma (arranjos paliçados, citoplasmas macrovacuolizados e fusões de citoplasma, com formações paliçadas), além de metaplasia prostática 11,11.
No presente relato, denota-se quadro de anemia normocítica e normocrômica em fase avançada. O hiperestrogenismo é causa conhecida de pancitopenia em cães e ferrets com características de feminização, que pode evoluir para aplasia medular 12. A pancitopenia aplásica é caracterizada como pancitopenia sanguínea associada a uma medula óssea hipocelular com espaços hematopoiéticos substituídos por tecido adiposo 12.
Em cães com doença localizada, o tratamento de escolha é a orquiectomia com ablação escrotal, que na maioria dos casos é curativo; porém, cães com hipoplasia de medula óssea têm prognóstico reservado, pois estão mais sujeitos a infecções secundárias e hemorragias 1,14. No caso descrito, devido ao diagnóstico tardio da doença e à presença de metástases, o prognóstico foi reservado. Deve-se lembrar que o estado geral de animais muito debilitados deve se mostrar estável para que possam ser submetidos a intervenção cirúrgica. O manejo de metástases é limitado e o uso de radioterapia e quimioterapia sistêmica tem sido relatado. Os agentes quimioterápicos usados incluem a cisplatina e a bleomicina e o prognóstico é de cinco a 31 meses de sobrevida 14.
Considerações finais
O hiperestrogenismo associado ao sertolinoma deve ser suspeito em qualquer macho de idade média a idoso que apresente criptorquidismo ou massas testiculares, principalmente quando associado a sinais e sintomas de feminização. A retirada dos testículos pode não fazer cessar a produção hormonal e o quadro de síndrome de feminização pode se manter ou evoluir, provocando anemia secundária ao hiperestrogenismo. É importante ressaltar que, apesar de raros, deve-se atentar para tumores testiculares metastáticos mesmo em cães castrados com sinais de feminização ou pancitopenia.
Agradecimentos
Agradecemos a Emerson F. F. Mota, do Histopet, pela atenção e gentileza de ceder as micrografias das análises histopatológicas.
Referências
01-FAN, T. M. ; LORIMIER, L. P. Tumors of the male reproductive system. In: WITHROW, S. J. Small animal clinical oncology. Philadelphia: W. B. Saunders Co., p. 637-648, 2006.
02-MOSIER, J. E. Effect of aging on body systems of the dog. The Veterinary Clinics of North America, v. 19, p. 1-12, 1989.
03-WEAVER, A. D. Survey with follow-up of 67 dogs with testicular Sertoli cell tumours. Veterinary Record, v. 113, n. 5, p. 105-107, 1983.
04-CHUN, R. ; GARRET, L. Urogenital and mammary gland tumors. In: ETTINGER, S. J. ; FELDMAN, E. C. Textbook of veterinary internal medicine. Saint Louis: Elsevier Saunders, p. 784-788, 2005.
05-REIF, J. S. ; MAGUIRE, T. G. ; KENNEY, R. M. ; BRODEY, R. S. A cohort study of canine testicular neoplasia. Journal of American Veterinary Medicine Association, n. 175, p. 719-723, 1979.
06-KIM, O. ; KIM, K. Seminoma with hyperesterogenemia in a Yorkshire terrier. Journal of Veterinary Medical Science, v. 67, n. 1, p. 121-123, 2005.
07-SANPERA, N. ; MASOT, N. ; JANER, M. ; ROMEO, C. ; DE PEDRO, R. Oestrogen-induced bone marrow aplasia in a dog with a Sertoli cell tumour. Journal of Small Animal Practice, v. 43, p. 365-369, 2002.
08-POST, K. ; KILBORN, S. H. Canine Sertoli cell tumor: a medical records search and literature review. Canadian Veterinary Journal, v. 28, n. 7, p. 427-431, 1987.
09-MISCHKE, R. ; MEURER, D. ; HOPPEN, H. O. ; UEBERSCHAR, S. ; HEWICKERTRAUTWEIN M. Blood plasma concentrations of oestradiol-17β, testosterone and testosterone/oestradiol ratio in dogs with neoplastic and degenerative testicular diseases. Research in Veterinary Science, v. 73, n. 3, p. 267-272, 2002.
10-MASSERDOTTI, C. ; BOXFANTI, U. ; DELORENZI, D. ; TRANQUILLO, M. ; ZANETTI, O. Cytologic features of testicular tumours on dog. Journal of Veterinary Medicine, v. 52, n. 7, p. 339-346, 2005.
11-BAZZO, R. ; SARLI, G. ; MAXDRIOLI, L. ; MARCATO, P. S. Sertoli cell tumour with call-exner-like bodies in a dog. Journal of Veterinary Medicine, v. 49, n. 10, p. 535-537, 2002.
12-BRAZZELL, J. L. ; WEISS, D. J. A retrospective study of aplastic pancytopenia in the dog: 9 cases (1996-2003). Veterinary Clinical Pathology, v. 35, n. 4, p. 413-417, 2006.
13-DOXSEE, A. L. ; YAGER J. A. ; BEST S. J. ; FOSTER R. A. Extratesticular interstitial and Sertoli cell tumors in previously neutered dogs and cats: a report of 17 cases. Canadian Veterinary Journal, v. 47, n. 8, p. 763-766, 2006.
14-DHALIWAL, R. S. ; KITCHELL, B. E. ; KNIGHT, B. L. ; SCHMIDT, B. R. Treatment of aggressive testicular tumors in four dogs. Journal of the American Animal Hospital Association, v.35, n. 4, p. 311-318, 1999.
15-FELDMAN, E. C. ; NELSON, W. R. Disorders of the testes and epididymides. In: FELDMAN & NELSON. Canine and feline endocrinology and reproduction. Philadelphia: W. B. Saunders Co., p. 961-976, 2003.
